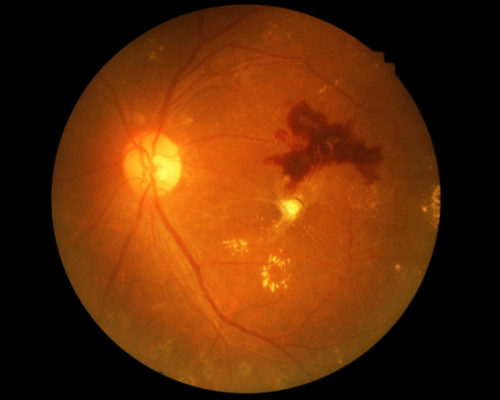
Retina care is vital for preserving vision, as the retina is crucial for capturing light and sending signals to the brain. At Prasad Eye Care Centre, we offer comprehensive retina care services, focusing on conditions like diabetic retinopathy, macular degeneration, and retinal detachment. Using advanced diagnostic tools such as OCT and fluorescein angiography, we assess the health of the retina. Treatments include laser therapy, anti-VEGF injections, and surgery, depending on the condition. Early detection and prompt treatment are essential for preventing vision loss and ensuring long-term eye health.

A thorough eye check-up to diagnose conditions and assess vision health.

Custom care plans, from glasses to surgeries, based on individual needs.
Expert treatment with continuous monitoring for long-term eye health.